
You knew it was coming; you prepared and prepared; you had meetings, you stayed late; you were ready. So, how'd it go?

You knew it was coming; you prepared and prepared; you had meetings, you stayed late; you were ready. So, how'd it go?

Turing Pharmaceutical's CEO has backed down on the 4000% price hike for Daraprim, but is the damage done? Take our poll.

The once-daily Oralair tablet may considerably change the experience of seasonal allergy sufferers.

Current and emerging treatment options for ragweed-induced rhinoconjunctivitis are the topic of a comprehensive review paper--a good read for all primary care providers.

The discovery of decreased bioavailability of the anithistamine fexofenadine after ingestion of grapefruit juice broadened understanding of mechanisms underlying these sometimes deadly drug-juice interactions.

Physical therapy can specifically address mobility deficits associated with multiple sclerosis-if the patient is referred early on in the disease’s course.

Benign mucous membrane pemphigoid is an autoimmune disease; that involves the oral mucosa and eyes. Clinical signs: edematous bright red gingiva and bullae formation.

A 16-year-old boy was complaining of pain in the maxillary left incisor/cuspid region. He had been experiencing discomfort for 1 year. He was otherwise healthy and a review of his other systems was unremarkable.

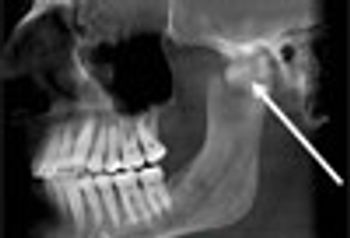
A 62-year-old man with a persistent snoring problem presented for an oral medicine consultation. There was no history of jaw trauma or jaw fracture; jaw function was normal and the patient was not in pain.


A 47-year-old man in no apparent distress presented with intermittent facial pain, involuntary right facial muscle contractions, bilateral muscle spasms, trismus, involuntary tongue protrusions, tongue trauma, and an excessive gag reflex. He had taped a pacifier to his face to prevent tongue damage during involuntary clenching.

A 52-year-old woman presents with severe intra-oral ulceration and oral pain. She reports that several years earlier, she had been taking cephalexin when severe intra-oral ulceration developed.

Physicians are being under-reimbursed for vaccinations nearly half the time, according to new data released by athenahealth. Most physicians are properly reimbursed for the cost of the vaccine itself, but getting paid for administration of the vaccine is another matter.

Some physicians feels so strongly about vaccinations and are so weary of negotiating with parents worried about vaccine risks, they are closing their practice to patients who are not vaccinated, according to a trend story by Kaiser Health News.



A 56-year-old man has been admitted on several prior occasions for left groin abcesses related to injection drug use.

At Consultant, our goal is to provide the practical, authoritative information you need to best serve your patients. That is why we "pre-test" article ideas (before we invite articles on those topics) to be sure they are of real interest to you and your colleagues. It is also why we take great care in checking facts, creating useful tables and figures, and choosing illustrations and photographs to enhance teaching messages.

A 48-year-old woman sought medical attention after an episode of gross hematuria associated with mild right-sided loin discomfort. She did not have urinary frequency, urgency, or dysuria. Her history included 3 urinary tract infections; a Proteus species was cultured on each occasion. The family history was unremarkable. Other than mild loin tenderness, physical findings were normal.

More than half of patients with rheumatoid arthritis who were treated with a biologic discontinued treatment, and another 12% switched to at least 1 other biologic within a 2-year treatment period, according to a study led by Chureen Carter, PharmD, of Centocor Ortho Biotech Services.

A study of Humana members enrolled in commercial and Medicare Advantage plans showed that patients with fibromyalgia have higher health care utilization and costs than those without the disease.1 This is because of higher use of office visits, testing, and procedures as well as pain-related medications.

Managed care pharmacists will play a key role in reforming the current health care system by continuing to develop innovative programs that reduce costs and improve quality of care, said Mark McClellan, MD, PhD, director of the Engelberg Center for Health Care Reform at the Brookings Institution in Washington, DC. He discussed the effects of the recent health care reform legislation in a presentation at the Academy of Managed Care Pharmacy meeting.

Electronic prescribing resulted in greater generic and formulary drug use, according to Crystal Chang, PharmD, and colleagues at Blue Shield of California, San Francisco. It also led to an average cost savings of 17.3% for both the member and the payer.

The authors are affiliated with the University of Mississippi School of Pharmacy, in University, Miss. Dr Yang is assistant professor in the department of pharmacy administration.

At Consultant, our goal is to provide the practical, authoritative information you need to best serve your patients. That is why we “pre-test” article ideas (before we invite articles on those topics) to be sure they are of real interest to you and your colleagues. It is also why we take great care in checking facts, creating useful tables and figures, and choosing illustrations and photographs to enhance teaching messages.

We assessed the association between pharmacy cost-containment policy actions by states’ Medicaid programs and access to prescription drug and medical care, controlling for nonpharmacy cost-containment policy actions and socio-environmental differences among states.

The development of drug-resistant strains of Mycobacterium tuberculosis has increased morbidity and mortality associated with tuberculosis (TB) and has greatly increased the costs of care for patients with this disease.

After reading your February, March, and April editorials, I would like to share the following thoughts concerning health care reform from the perspective of a pharmacist practicing for 32 years.

An all-terrain vehicle-ATV-is described by the American National Standards Institute as one that "travels on low pressure tires, with a seat that is straddled by the operator, and with handlebars to be used for steering."1 By this definition, an ATV is designed for interactive riding by a single operator. Drivers are able to shift their weight freely in all directions depending on the situation and terrain. According to ATV safety standards and recommendations, children younger than 6 years are never to be on an ATV of any size-alone or with someone else.

A retrospective review of administrative claims data was conducted to identify health plan members with asthma who were persistent with their controller medications and those who were not persistent. Utilization of health care services and associated costs were measured for both groups. Non-persistent use of controller medications resulted in more asthma-related emergency department visits and home health services whereas persistent controller use was associated with more physician office and outpatient visits. Mean asthma-related medical costs per member were greater in the non-persistent cohort ($577.62) than in the persistent cohort ($323.03). These findings support the need for targeted interventions to address non-persistence in a managed Medicaid population.(Drug Benefit Trends. 2009;21:112-118)

Published: May 1st 2009 | Updated:

Published: May 2nd 2008 | Updated:

Published: November 1st 2006 | Updated:

Published: September 8th 2006 | Updated:

Published: December 2nd 2008 | Updated:

Published: March 31st 2009 | Updated: