Articles by Gopi Rana-mukkavilli, MD

Pain and pruritus of the neck and upper chest began to bother a 43-year-old woman several hours after she put on a new copper necklace. Vigorous scratching of the affected area caused excoriation of the skin, which can mask the eruption and complicate diagnosis.

A 38-year-old woman had become increasingly depressed by worsening psoriasis in conjunction with a flare of arthritis in her hands and fingers. The patient complained that she could not function optimally and that her quality of life had diminished.

A 32-year-old construction worker sought evaluation of nontender skin lesions that had been erupting for several months. The patient was seropositive for HIV with a CD4+ cell count of 210/µL. He had no history of opportunistic infections.

A 27-year-old man from Iraq presented with a painful lesion on the left lateral aspect of his tongue of 2 weeks' duration. Genital ulcers or skin lesions were not present. The patient also complained of a low-grade fever, weight loss, and occasional episodes of left eye pain during the past several months. He denied any significant past medical history, allergies, and the use of medications or illicit drugs.

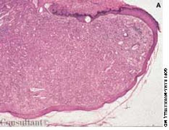
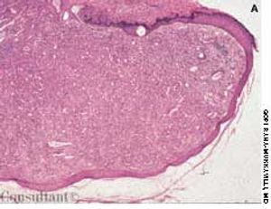
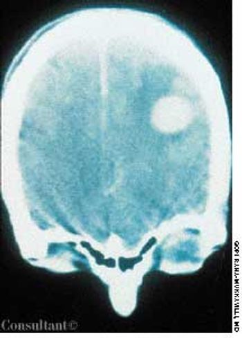
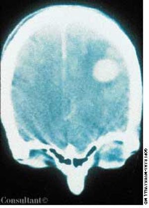
A 32-year-old man who had HIV disease complained of headache, fever, and weakness on his right side. His history included intravenous drug use, Pneumocystis carinii pneumonia, and mucocutaneous candidiasis.

For 3 days, a 23-year-old woman had been bothered by pruritic vaginal and vulvar lesions. A cheesy white vaginal discharge was associated with the itching.

A week after the onset of headache, fever, chills, nausea, weakness, and malaise, a 23-year-old man presented to the emergency department of a hospital on Long Island in New York. He reported that analgesics had not eased his symptoms. The patient's only past hospitalization was a splenectomy secondary to an auto accident at age 16.

Purplish skin lesions appeared on the back and trunk of a 34-year-old homosexual man with HIV-1 disease. The spots had been growing larger over the past several weeks.

A 33-year-old man with AIDS presented to the emergency department with fever, dyspnea, cough, and pleuritic chest pain of 3 days' duration. He had had a Pneumocystis carinii infection 3 years before recently emigrating from the Dominican Republic to the United States. Promiscuous sexual activity was his only risk factor for HIV infection. The patient did not take antiretroviral medications or protease inhibitors because of their cost.

A 16-year-old girl with seizures and mental retardation presented for a routine examination. Tuberous sclerosis had been diagnosed during infancy.

Pain and swelling of the left lower leg and a low-grade fever of 1 week's duration sent a 24-year-old African American man for medical evaluation. The patient had a history of vitiligo since childhood.

A 57-year-old man was brought to the emergency department with fever, chills, and a productive cough of 1-week's duration. He had a history of alcoholism.

After 1 week of scratching a pruritic, reddish rash on a swollen hand and enduring a “burning sensation,” a 43-year-old man visited his physician. The patient worked as a meatpacker. He had no other medical conditions, took no medications, and had no known drug allergies.

A 13-year-old girl who had leukemia presented to the emergency department with fever; chills; weight loss; fatigue; and a painful, erythematous rash with a central black lesion on the upper thigh. The patient was neutropenic and had been undergoing chemotherapy for 1 week.

A 57-year-old man who had recently arrived in the United States from El Salvador presented with a nodular growth in his left naris. He reported that the lesion, which had been slowly progressing for several months, now completely blocked his left nostril. His only symptom was impaired inhalation.

Severe shortness of breath, a dry cough, and a 10-day history of fever sent a 37-year-old man with HIV disease to the emergency department. He complained of a poor appetite and had lost 10 lb over the last 10 days.

A 35-year-old Nigerian man presented to the emergency department with a distended, tender abdomen; fever; and weight loss. His abdomen had grown increasingly large during the past several months as his appetite diminished. The patient reported no allergies, took no medication, and denied tobacco, alcohol, and illicit drug use. His only significant medical history was jaundice during adolescence.

During the past 2 weeks, a 34-year-old man with HIV infection experienced worsening mouth pain while chewing.

A 37-year-old man presented with fever, chills, myalgia, headache, and left-sided pleurisy of 2 weeks' duration. He also complained of weight loss and loss of appetite. The patient had recently returned from a family visit to Missouri.

A 59-year-old woman presented for a routine physical examination. She had no physical complaints and took no medications. During the physical examination, bilateral, flat, slightly elevated, yellowish cutaneous lesions were noted above and below the skin folds of the patient's eyelids.

For 2 months, a 47-year-old woman experienced constipation, weakness, fatigue, and dry skin. She also complained of moderate weight gain and menorrhagia during the same period. The patient took no medications and denied any allergies.

For 3 days, a 23-yearold woman had been bothered by pruritic vaginal and vulvar lesions. A cheesy white vaginal discharge was associated with the itching. She denied being sexually active.

A 33-year-old man with AIDS presented to the emergency department with fever, dyspnea, cough, and pleuritic chest pain of 3 days’ duration. He had had a Pneumocystis carinii infection 3 years before recently emigrating from the Dominican Republic to the United States.

Following a motor vehicle accident, a 28-year-old man was admitted to the hospital burn unit. He had sustained third-degree burns on his left h and left proximal forearm. Intravenous colloid solution was administered, and wound dressings were changed twice daily.

A 46-year-old woman with type 1 diabetes mellitus presented to the emergency department with wheals, flares, and severe pruritus of her face and trunk.