Articles by Ibrahim Seki, MD

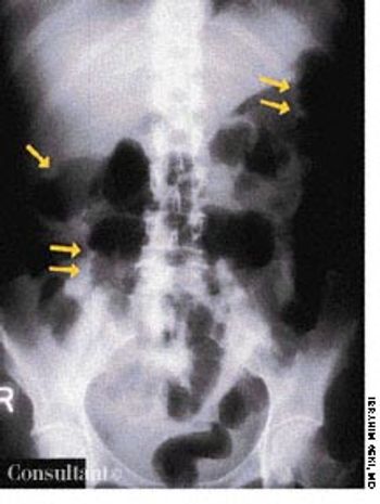
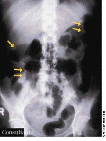
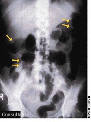
Four days after having been given cefuroxime for sinusitis, a 49-year-old woman experienced abdominal cramping, diarrhea, fever (temperature of 39.4°C [103°F]), and nausea. These problems persisted for 1 week, at which time the patient arrived at the emergency department. She had no recent history of travel, ingestion of undercooked food, or exposure to anyone with similar digestive problems.

High-grade fever, chills, fatigue, malaise, and anorexia developed in a 35-year-old man following subclavian catheterization because of chronic renal failure of unknown cause. The patient, who had long-standing diabetes mellitus, was admitted to the ICU with the diagnosis of possible sepsis. The next day, he was found to have a grade 2/6 systolic murmur compatible with tricuspid regurgitation. This was confirmed when a 4-chamber echocardiogram (A) revealed a large single piece of vegetation (2 arrows) lying on the tricuspid valve, flapping in and out of the right ventricle. In a 2-dimensional echocardiogram of the right atrium and right ventricle (B), 3 arrows point to the vegetation. (RV, right ventricle; LV, left ventricle; RA, right atrium; LA, left atrium; TV, tricuspid valve.)