
A 63-year-old man with myelodysplasia presented with oral thrush, intranasal dryness, and congestion that developed 2 months earlier. Intranasal saline rinse and sleeping with the head elevated temporarily relieved the nasal symptoms.

A 63-year-old man with myelodysplasia presented with oral thrush, intranasal dryness, and congestion that developed 2 months earlier. Intranasal saline rinse and sleeping with the head elevated temporarily relieved the nasal symptoms.

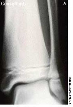
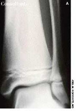
A 15-year-old boy had been experiencing pain in his distal left leg for 7 months. There was mild swelling, and an x-ray film of the lower leg revealed a sharply marginated, vertically oriented, tubular lucency in the metaphysis of the tibia (A). There was no cortical destruction, periosteal reaction, or pathologic fracture. An MRI at high field strength was performed to narrow the differential diagnosis.

Redness, irritation, and diplopia developed over 2 to 3 weeks in a 55-year-old man's left eye. The injection worsened and was unresponsive to eye drops. Ptosis, mild proptosis, and elevated intraocular pressure developed. A bruit was auscultated over the affected eye.

Increasingly frequent headaches and blurred vision had affected a 74-year-old woman for several months. Double vision, which initially occurred only when the patient looked to the right, had started to affect vision when she looked straight ahead. Her eye movements when looking to the left were normal; the right eye, however, did not go beyond midline when looking to the right. Upward and downward gaze were not affected.

A 29-year-old woman complained of 6 months of tinnitus, hearing loss in the left ear, and leff-sided facial numbness. There was no history of trauma or recognized antecedent infection. Physical examination of the external and middle ears was unremarkable. Vestibular test results and tympanometry results were normal. An audiogram demonstrated nearly total sensorineural hearing loss in the left ear.

An obese 61-year-old man who had chronic obstructive pulmonary disease and sleep apnea heard a “pop” in his stomach while lifting a heavy weight; severe abdominal pain followed. He was short of breath the next morning, and his physician empirically prescribed cephalexin.

Three years ago, the young man pictured here was told that he might have acromegaly, but he ignored this warning. Now, at age 32, he consulted an endocrinologist because he realized his facial features and voice were becoming increasingly coarse. Soft-tissue swelling of his hands was also noted.

Four hours before he arrived at the emergency department, a 33-year-old man had been struck in the face by a rock. A laceration and periorbital hematoma were noted on the left side of the patient’s face. He complained of pain in this area. There was no history of intraocular disease. The left globe was intact, and no neurologic deficit was found.

An obese 61-year-old man who hadchronic obstructive pulmonary diseaseand sleep apnea heard a “pop”in his stomach while lifting a heavyweight; severe abdominal pain followed.He was short of breath thenext morning, and his physician empiricallyprescribed cephalexin.

Redness, irritation, and diplopia developedover 2 to 3 weeks in a 55-yearoldman’s left eye (A). The injectionworsened and was unresponsive toeye drops. Ptosis, mild proptosis, andelevated intraocular pressure developed.A bruit was auscultated overthe affected eye.

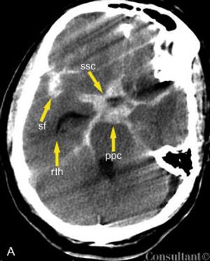
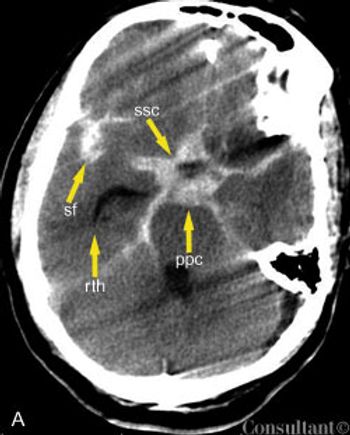
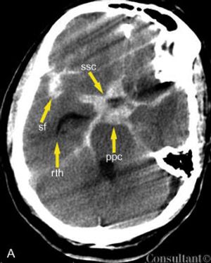
A 69-year-old man with an acute severe headache and nausea was brought to the emergency department. The patient was neurologically intact; an intracerebral hemorrhage was suspected.

Published: September 14th 2005 | Updated:

Published: September 14th 2005 | Updated:

Published: September 14th 2005 | Updated:

Published: August 2nd 2004 | Updated:

Published: May 2nd 2004 | Updated:

Published: May 1st 2003 | Updated: