Articles by Kofi Clarke, MD

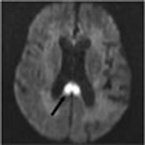
A 68-year-old woman was hospitalized because of confusion and agitation of sudden onset. Her history included dementia and multiple infarcts of both cerebellar hemispheres, bilateral basal ganglia, bilateral parietal lobes, and the right occipital lobe.

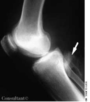
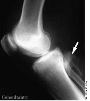
A 44-year-old man with a history of grand mal seizures experienced knee pain while walking. The pain was more severe in the left than in the right knee. The patient had a history of trauma to his left knee caused by falling during seizures.