
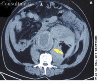
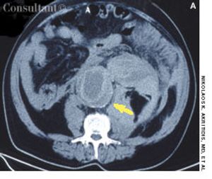
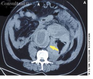
Severe abdominal pain radiating to the back prompted a 72-year-old man to go to the emergency department (ED). The patient had experienced similar pain 2 days earlier and was treated at another hospital for renal colic on the basis of concomitant microscopic hematuria. He had a history of poorly controlled hypertension.


