
A 48-year-old woman with hypertension, HIV infection, anemia, and chronic kidney disease presented with generalized body weakness and diarrhea of several months’ duration.

A 48-year-old woman with hypertension, HIV infection, anemia, and chronic kidney disease presented with generalized body weakness and diarrhea of several months’ duration.

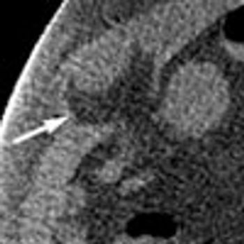
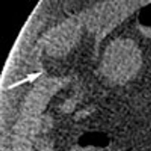
A 50-year-old man with type 2 diabetes mellitus and hypertension presented to the emergency department with abdominal pain and vomiting of 2 days' duration. He denied fever and urinary symptoms.

Published: September 2nd 2008 | Updated:

Published: December 1st 2007 | Updated: