
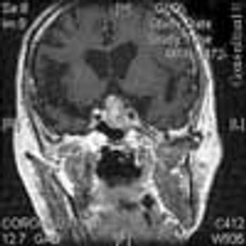
During a workup for dementia, a 77-year-old man was found to have a pituitary macroadenoma (21 x 17 x 25 mm) with suprasellar extension on a coronal-section MRI scan. The patient had hypertension and mild erectile dysfunction. He denied headaches, nausea, vision problems, weight changes, weakness, and polyuria. His medications included nifedipine, hydrochlorothiazide, and aspirin.


