Articles by Manjula Thopcherla, MD

A 69-year-old woman was admitted to the hospital with wheezing and dyspnea. She also complained of hoarseness and slight dysphagia that had caused a loss of 12 lb during the past 4 months. The patient had been treated for bronchial asthma as an outpatient, but the worsening episodes of wheezing were not being controlled by bronchodilator therapy.

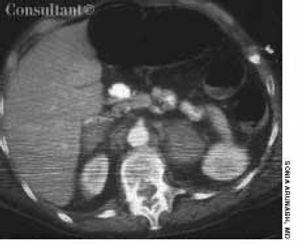
A 48-year-old woman was admitted to the hospital with deep venous thrombosis of the right leg. She had a history of non-Hodgkin lymphoma, which was in remission. The patient had been a heavy smoker for many years.

For 1 month, an 82-year-old woman had had episodes of coughing. Chronic bronchitis had been diagnosed; however, antibiotics and bronchodilators failed to control symptoms.

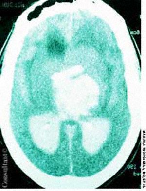
A 60-year-old comatose man was brought to the emergency department (ED). He had a history of diabetes, hypertension, and alcohol abuse. Relatives reported that the patient was noncompliant with his antihypertensive medication regimen.

A 52-year-old woman who was undergoing chemotherapy for lymphoma was admitted to the hospital with fever of a few days' duration. The patient had smoked cigarettes for many years; she had no history of deep venous thrombosis.

A 40-year-old man presented with a 1-year history of progressively worsening dysphagia. He reported difficulty in swallowing both solids and liquids and had experienced mild weight loss during the past few months. He had no history of gastroesophageal reflux.

A 48-year-old woman was admitted to the hospital with deep venous thrombosis of the right leg. She had a history of non-Hodgkin lymphoma, which was in remission. The patient had been a heavy smoker for many years.