
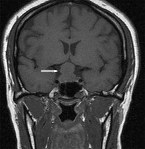
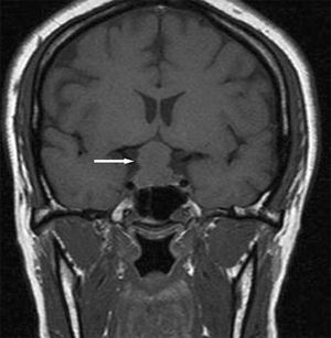
For 3 days, a 28-year-old woman with a history of polymyositis and possible dermatomyositis had fever, chills, and nonproductive cough. She complained of rash, joint pain, and progressive immobility because of severe muscle weakness. For the past 6 years, she had been taking prednisone (60 mg/d), hydroxychloroquine (200 mg bid), and tramadol (100 mg q6h prn for pain).




