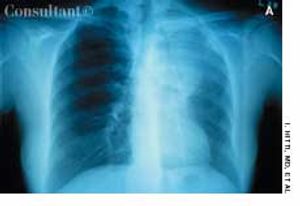
Adenocarcinoma of the Lung in a 50-Year-Old WomanByRaj K. Jain, MD,Sonia Arunabh, MDSeptember 14th 2005During the past few months, a 50-year-old woman had experienced cough, dyspnea, mild hemoptysis, and a 30-lb weight loss. She had no fever, chills, or rigors. The patient had smoked cigarettes for 30 years.