
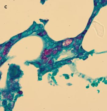
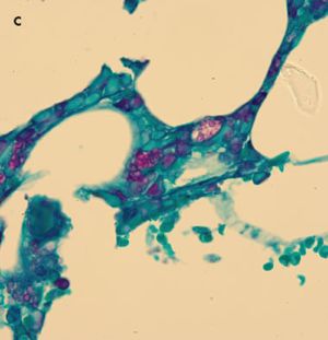
A 38-year-old man had fever and fatigue for the past 6 days and tenderness in the left upper abdominal quadrant for the past 3 days. He also had a facial butterfly rash that had been present for 10 years and a 1-year history of lupus nephritis, treated with prednisone and mycophenolate. He denied respiratory complaints or recent weight loss.


