
After 6 weeks of persistent low back pain, an overweight 72-year-old woman sought medical evaluation. There was no history of trauma.

After 6 weeks of persistent low back pain, an overweight 72-year-old woman sought medical evaluation. There was no history of trauma.

A 22-year-old soldier's left hand, wrist, and distal forearm were crushed by an object that weighed 90.8 kg (200 lb). There were no signs of open fracture; soft-tissue injuries were obvious. No neurovascular deficit was discerned in the limb.

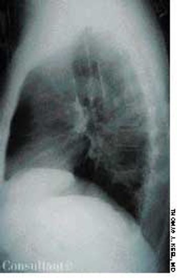
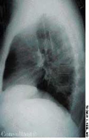
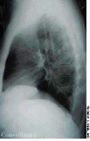
The wife of an 82-year-old man with Alzheimer's disease was concerned about her husband's poor posture. According to the woman, the patient had never sustained a back injury and had always maintained a sedentary lifestyle. He never smoked cigarettes and did not use alcohol. His history included multiple transient ischemic attacks (TIAs).

A 24-year-old man sustained a fall on his outstretched hand (FOOSH) injury that was complicated by wrist hyperextension. He complained of persistent right wrist pain and loss of grip strength.

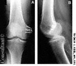
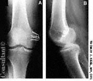
A 51-year-old man-a 6 ft, 240 lb bodybuilder-presented with long-standing, chronic rotational instability of the left knee as the result of a valgus blow to the joint during a football game 20 years earlier. The patient complained of extreme pain and reported that he felt the tibia sliding around under the left femur.

Published: September 14th 2005 | Updated:

Published: September 14th 2005 | Updated:

Published: September 14th 2005 | Updated:

Published: September 14th 2005 | Updated:

Published: September 14th 2005 | Updated: