
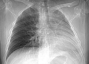
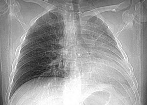
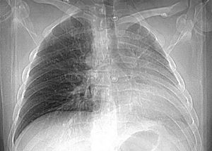
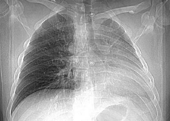
A 26-year-old man presented with sudden onset of palpitations and shortness of breath after incidentally taking tadalafil. He had no other symptoms and no history of illnesses during childhood. He drank socially but denied smoking and use of illicit drugs.


