Articles by Achal Dhupa, MD

A 72-year-old morbidly obese man who had diabetes mellitus was admitted to the hospital from a nursing home with a fever of 4 days' duration. A tracheostomy had been performed 3 months earlier for respiratory failure. The patient was being treated with corticosteroids for chronic obstructive pulmonary disease.

The pattern of pleural calcification and the patient's history are helpful in determining the usually remote cause of the calcification. Here, Drs Mahesh Duggal, Achal Dhupa, Krishna Badhey, and Arunabh of North Shore University Hospital of Forest Hills, NY, offer 2 cases that illustrate the importance of these data.

A 73-year-old man was admitted to the hospital with pain in his hands, feet, and elbows. The patient, an alcoholic, had a 20-year history of hypertension and diabetes. Deformities of the hands and feet had developed during the past 5 years. Tophi were present over both ear lobes. The serum uric acid level was 15 mg/dL.

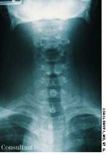
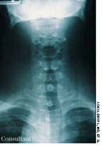
A 32-year-old man was brought to the emergency department after being stabbed in the right side of the neck with a broken piece of glass. The patient immediately underwent carotid angiography; the findings were normal.

A 65-year-old man was hospitalized with dyspnea and fever of a few days' duration. He complained of excessive malaise, fatigue, and weight loss but denied any hemoptysis. The patient had a history of alcohol abuse.
Latest Updated Articles

GoutPublished: September 14th 2005 | Updated:

Stab WoundPublished: September 14th 2005 | Updated: