
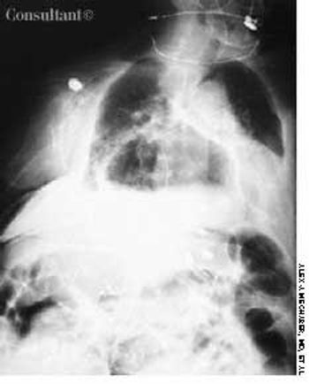
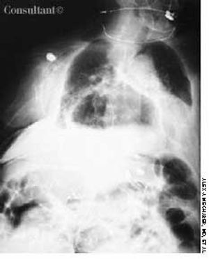
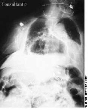
A 97-year-old woman with a history of hypertension and a paraesophageal hiatal hernia presented with abdominal distention and shortness of breath. Three days earlier, she had fallen and sustained a hairline pelvic fracture; she was evaluated in the emergency department and given narcotics for the pain. Subsequently, the patient's abdomen became increasingly distended, and she had no bowel movement for 3 days.


