
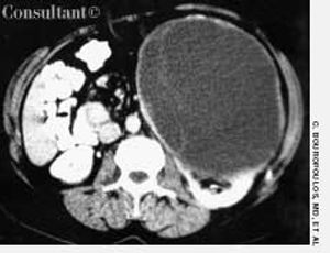
A 43-year-old woman was admitted to the hospital with left flank pain. The physical examination revealed a left abdominal mass. Laboratory test results identified normochromic-normocytic anemia (hematocrit, 33%; hemoglobin, 10.8 g/dL; and mean corpuscular volume, 88 fL) and microscopic hematuria (10 red blood cells per high-power field).


