
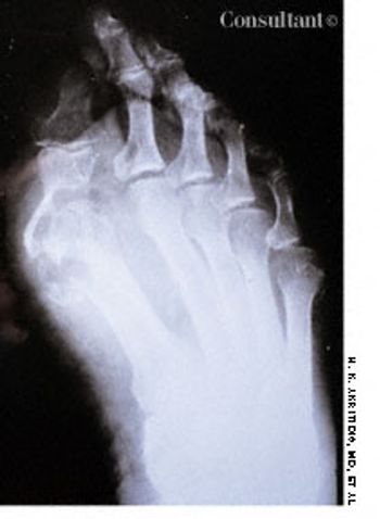
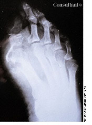
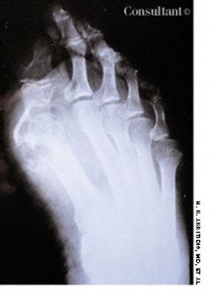
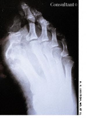
A 72-year-old woman was hospitalized after 8 years of pain and swelling of the right metatarsophalangeal joint. (In this film, the dark area over the distal joint of the large toe is an artifact.) Results of a purified protein derivative tuberculin test were positive, and a chest film revealed apical changes compatible with old tuberculosis (TB).


