
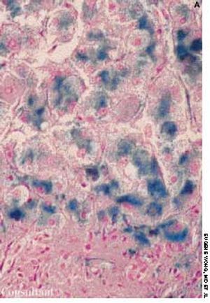
A 60-year-old white man was evaluated for dyspnea on exertion. Hepatomegaly and abnormal skin pigmentation were noted, particularly in the upper extremities.

A 60-year-old white man was evaluated for dyspnea on exertion. Hepatomegaly and abnormal skin pigmentation were noted, particularly in the upper extremities.

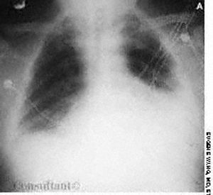
Over the previous 6 months, a 59-year-old man had experienced lethargy, fatigue, poor appetite, cold intolerance, and abdominal distention. His vital signs were normal; physical examination revealed periorbital and pretibial edema, distant heart sounds, and delayed reflexes.

Over the previous 6 months, a59-year-old man had experienced lethargy,fatigue, poor appetite, cold intolerance,and abdominal distention. Hisvital signs were normal; physical examinationrevealed periorbital andpretibial edema, distant heart sounds,and delayed reflexes.

Published: September 14th 2005 | Updated:

Published: September 14th 2005 | Updated:

Published: May 2nd 2004 | Updated: