Articles by Haralampos Milionis, MD

A serum alkaline phosphatase (ALP) level three times higher than normal, found on routine laboratory examination, prompted further evaluation of a 57-year-old man. At admission, his temperature was 36.8°C (98.2°F), blood pressure was 120/85 mm Hg, pulse rate was 90 beats per minute, and respiration rate was 19 breaths per minute. The physical examination was unrevealing, and the patient's personal and family medical histories were unremarkable.

A 33-year-old woman was referred to the endocrinology clinic because of osteoporosis. At age 6, she had fractured her right tibia with no history of trauma; at age 27, she fractured the third lumbar vertebra, and 3 years later she experienced a Colles' fracture of the left wrist. She gave birth to a healthy child 10 years ago.

A 49-year-old farmer was hospitalized because of a 3-week history of intermittent fever, fatigue, anorexia, generalized myalgias, and malodorous sweating. A nonpruritic, nonhemorrhagic, maculopapular rash recently had developed on his arms, legs, and trunk. The reddish lesions were less than 1 cm in diameter. There was no history of antibiotic or antipyretic drug therapy, and no abnormalities were found on physical examination.

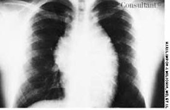
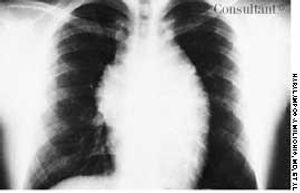
A 19-year-old man was admitted to the hospital with malaise, fatigue, and intermittent fever (temperature of 38°C [100.4°F]) for the last 2 weeks. Physical examination revealed scarce purpuric lesions over the lower extremities; a pericardial friction rub was audible over the precordium when the patient was supine and seated, and the spleen was remarkably enlarged.

Diabetes mellitus recently had been diagnosed in a 58-year-old woman. The patient claims that her skin had darkened significantly over the past 5 years.

Three months ago, a 50-year-old man who was otherwise in good health noticed a hard, round nodule on his left arm. Within 2 months, similar nodules appeared all over his trunk, head, arms, and legs. The reddish purple lesions, less than 2 cm in diameter, were painless and slightly pruritic.

A 19-year-old man was referred for further investigation of multiple pigmented cutaneous lesions.

Fever occurring twice daily, accompanied by profuse sweating, anorexia, and malaise of 15 days' duration resulted in hospitalization of a 31-year-old woman. At this time, her temperature was 37.6°C (99.7°F); blood pressure, 110/70 mm Hg; pulse rate, 90 beats per minute; and respiratory rate, 18 breaths per minute. A palpable spleen was about 3 to 5 cm below the left subcostal margin. Neither lymphadenopathy nor hepatomegaly was noted.

During investigation of a long-standing iron-deficiency anemia, a 67-year-old woman was found to have cecal colon cancer, Duke's stage B. A right hemicolectomy was performed at that time, and she had periodic follow-up examinations. Four years later, during a routine outpatient visit, her carcinoembryonic antigen (CEA) serum level was found to be 27.7 ng/mL (upper normal limit, 5 ng/mL). Four months earlier, her CEA level had been normal.

A 51-year-old woman complained of mild pain in the Achilles tendon area of both feet. This was aggravated when she stood for prolonged periods and when she wore tight, high-heeled shoes. Physical examination results were unremarkable except for a disputable palpable thickness of the Achilles tendons, especially on the right foot.