
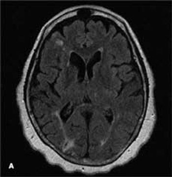
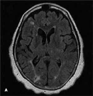
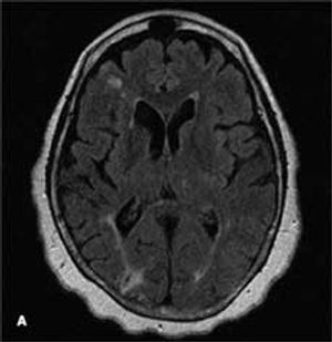
A 68-year-old woman with a history of hypertension, hyperlipidemia, and tobacco use presented with her third stroke in the past 7 years. Neurological deficits included dysarthria and left-sided motor and sensory loss. A previous transthoracic echocardiogram with a bubble study did not reveal any cardiac source of embolism. Axial MRI of the brain on admission showed an abnormal signal in the bilateral hemispheres representative of multiple subacute infarcts


