
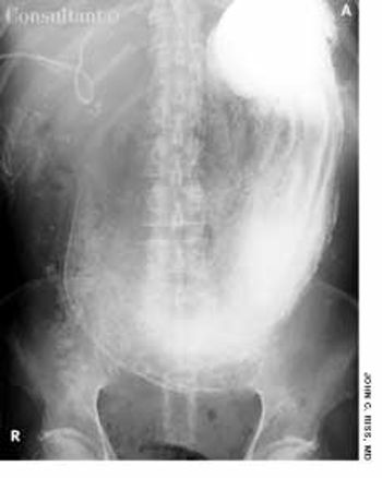
For 2 weeks, a 60-year-old man had severe nausea and vomiting. Two years earlier, he had had a cholangiocarcinoma, which was treated with palliative cholecystectomy followed by a course of rebeccamycin, an investigational chemotherapeutic agent.

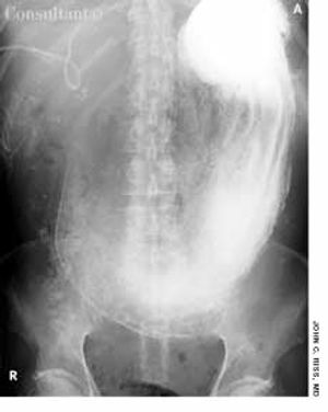
For 2 weeks, a 60-year-old man had severe nausea and vomiting. Two years earlier, he had had a cholangiocarcinoma, which was treated with palliative cholecystectomy followed by a course of rebeccamycin, an investigational chemotherapeutic agent.

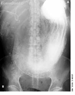
For 2 weeks, a 60-year-old man had severe nausea and vomiting. Two years earlier, he had had a cholangiocarcinoma, which was treated with palliative cholecystectomy followed by a course of rebeccamycin, an investigational chemotherapeutic agent.

Published: September 14th 2005 | Updated:

Published: October 1st 2004 | Updated: