
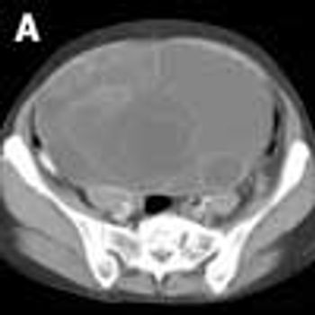
A 53-year-old perimenopausal woman presented to the emergency department with throbbing lower abdominal pain and distention. The pain started 5 days earlier and worsened with sitting and walking; she also experienced increasing dyspnea. She had noticed increasing abdominal girth about 5 months earlier. Since then, she had gained 5 to 10 lb, despite dieting. The patient reported a 22-pack-year history of smoking but no alcohol use. She was taking over-the-counter painkillers and allergy medications. Her family history was notable for a brother who died of laryngeal cancer.


