Articles by Justine H. S. Fong, MD

The parents of this 5-month-old boy were concerned that his eyes wereturned in toward the nose. The infant was otherwise healthy. Physical findingswere normal. In particular, when a light source was projected onto theeyes, the light reflex was centered in both eyes.

This black lesion had been present on the upper back of a 5-year-old girl since birth. The lesion had gradually enlarged to its current size of 1.5 cm. In the past year, 3 satellite black macules had developed in the surrounding area.

A 10-year-old boy had a headache, fever, cough, and nasal discharge for 2 days. His temperature was 38°C (100.4°F). Mucopurulent, yellow nasal discharge, fetid breath, and tenderness over the maxillary area were noted.

This 8-month-old girl presented with chronic constipation, which had begun during the neonatal period. She had her first bowel movement at 72 hours of age. Since then, she has had bowel movements once every 3 to 4 days. Her stools are pelletlike. Results of thyroid function tests done when she was a neonate were normal.

A male infant was born to a 29-year-old woman (gravida 3, para 2), following an uncomplicated pregnancy and normal vaginal delivery. At birth, a brownish 1-cm nodule was noted on the right side of the upper abdomen. The infant was otherwise healthy.

Two years ago, Dr Alexander K. C. Leung reported on a case of pseudopseudohypoparathyroidism. The patient was a 13-year-old girl with short stature, short fourth metacarpals and metatarsals, mild mental retardation, and no identifiable biochemical abnormalities.

Two weeks after the subcutaneous injection of 0.5 mL of varicella vaccine in a 2-year-old girl's left arm, a nonpruritic rash developed on the child's upper abdomen and left forearm. She had no fever. The lesions subsided after 5 days.

Following an uncomplicated pregnancy, a 30-year-old gravida 2, para 1 mother delivered a term infant boy. The neonate's Apgar scores were 7 at 1 minute and 9 at 5 minutes. Birth weight was 3.2 kg (7.1 lb); length, 50 cm (19.7 in).

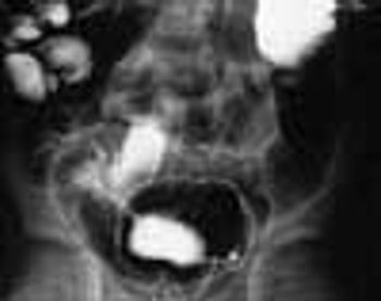
A 6-year-old boy presented with bloody diarrhea; fatigue; decreased appetite; weight loss; and occasional, mild abdominal pain for the past 2 months. The child had 6 to 8 bowel movements daily, 1 or 2 of which occurred at night.

A 6-year-old boy is brought for evaluation of bloody diarrhea, fatigue, decreased appetite, weight loss, and occasional, mild abdominal pain of 2 months' duration. The child had 6 to 8 bowel movements daily, 1 or 2 of which occurred at night.

The parents of an 18-month-old girl were curious about a depressed area on their daughter's lower back, which had been present at birth. The child was otherwise healthy.

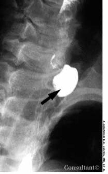
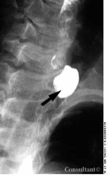
For 8 months, a 69-year-old man had dysphagia, throat irritation, and a recurrent cough. He also complained of a bulge on the left side of the neck that decreased in size when pressed.

For 2 years, a 66-year-old woman had a winglike structure on the nasal sideof her right eye. She had normal vision. A diagnosis of pterygium was made.

A male infant was born to a 29-year-old woman (gravida 3, para 2), following an uncomplicated pregnancy and normal vaginal delivery. At birth, a brownish 1-cm nodule was noted on the right side of the upper abdomen. The infant was otherwise healthy.

A symptomatic brown macules developed on the face of a 32-year-old woman 1 year ago. She had been taking oral contraceptives for the past 5 years. Her medical history was unremarkable, and the results of a physical examination were normal.

A 17-year-old adolescent experienced an episode of generalized paralysis ofacute onset after physical exertion and consumption of a high-carbohydratemeal. Despite a good appetite, the patient had lost between 2 and 3 lb duringthe past month. He complained of heat intolerance and palpitations and reportedlosing his temper easily.

7-year-old boy presented with an asymptomatic cystic lesion on the lateral aspect of the left ankle of 4 months’ duration. There was no history of trauma. The mass fluctuated in size; it was smaller when the child was recumbent and larger when the child was upright.