Articles by Lauren Patton, MD

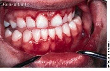
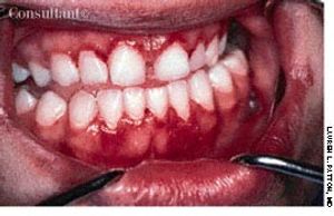
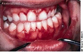
Bleeding gums for the past 2 days was the complaint of this 22-year-old woman. She is HIV-positive but has been clinically asymptomatic. Her CD4 lymphocyte count is 84/μL, and her viral load is 160,885 copies/mL. Despite maintaining good oral hygiene, she has a distinct fiery red band along the gingival margin.

Seen here are asymptomatic papillary growths on the gingiva of a 31-year-old homosexual man who is seropositive for HIV. The diagnosis of human papillomavirus (HPV) lesions can be based on appearance and history. Condylomas may also appear flat and smooth or nodular, resembling fibromas. Because cross infection is common, patients who have these lesions-and their partners-are at increased risk for contracting anal and genital condylomas.