
This is a very distinct, rare, and remarkable hemorrhagic rash, first recognized in 2006, with 7 known cases reported in the literature.

This is a very distinct, rare, and remarkable hemorrhagic rash, first recognized in 2006, with 7 known cases reported in the literature.

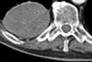
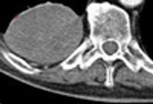
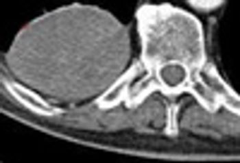
A 76-year-old man presented with left-sided chest pain, after a fall. He had tenderness along the left 8th rib and left basal rales. CXR showed non-displaced fractures of the 7th and 8th ribs with a small effusion and a right postero-basal rounded opacity.

A 66-year-old woman presented with a 2-day history of acute onset of redness, pain, and swelling of the right breast.

Published: October 5th 2011 | Updated:

Published: June 30th 2011 | Updated:

Published: June 4th 2015 | Updated: