
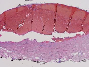
This is a very distinct, rare, and remarkable hemorrhagic rash, first recognized in 2006, with 7 known cases reported in the literature.

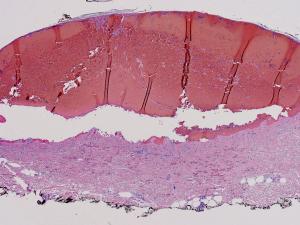
This is a very distinct, rare, and remarkable hemorrhagic rash, first recognized in 2006, with 7 known cases reported in the literature.

Published: June 4th 2015 | Updated: