
Excess adiposity and genetic predisposition both were found to be associated with a higher risk of gout, particularly among US women, in a new prospective study.

Excess adiposity and genetic predisposition both were found to be associated with a higher risk of gout, particularly among US women, in a new prospective study.

A recent meta-analysis assessed comparative clinical efficacy of NSAIDs and COX-2 inhibitors. Try these 7 questions on the findings - does your clinical experience match?

Highlights: The first liquid solution of colchicine for prophylaxis of gout, the first generic version of Advair Diskus, and 8 more new and approved drugs.

What are the dos and don'ts when treating gout patients with chronic kidney disease? Take our 4-question quiz to find out.

COPD… nasal polyps.. gout …. dyskinesia in Parkinson Disease: here’s a brief look at new drugs for these and other disorders coming your way.

A quick review of: a great mobile ECG reference; a gout Dx tool; a contraception counseling aid; FPNotebook on mobile; and Klara.

Use this short test to gauge how much you’ve learned about a condition that needs more primary care involvement.

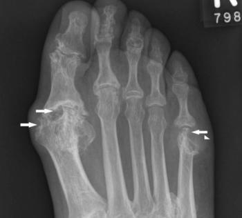
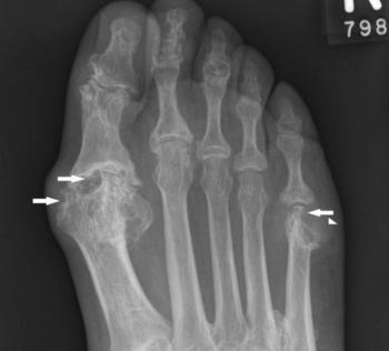
Can you spot the x-ray evidence to detect the suspected diagnosis?

Preventing further acute attacks and decreasing the tophi burden becomes a secondary goal.

Primary care can do more to help reduce gout morbidity, says a new review-plus 4 more studies on gout treatment and prevention.

The faster the attack is recognized and treated with medications, the easier it is to control.

Clinical presentation, history, and laboratory evaluation can make a diagnosis of gout, but crystal examination is the “gold standard.”

How to regulate “the king of diseases and the disease of kings” is this Patient Care Special Report's domain.

Test your knowledge of new American College of Physicians recommendations for improving diagnosis and management.

New evidence-based clinical practice guidelines offer some strong-and not so strong-recommendations for effective gout diagnosis and treatment.

A large population-based study found more patients already had atrial fibrillation at gout diagnosis compared with controls.

For key facts and figures about musculoskeletal disorders, perhaps a surprise as the fourth leading diagnostic category in primary care, see the pages that follow.

Once a disease of kings, gout affects an increasing number of “commoners”-and the physical and economic toll is high.

Here: 5 questions that test your knowledge of gout, psoriasis, COPD, and dermatologic lesions.

Becoming familiar with recent developments in managing “the king of diseases and the disease of kings” may help.

In an era characterized by an expanding array of expensive gout therapies, it may be that cherries have been overlooked.

Gout guidelines recently approved by the American College of Rheumatology have a 2-part focus. They offer patients information on effective methods for preventing gout attacks, and they provide physicians with recommended therapies for long-term disease management.

Here: a concise summary of dosing recommendations for the array of pharmacologic options now available to treat gout.

Gout is associated with a 57% increased risk of ESRD, independent of hypertension and diabetes, according to new research.

Elevated serum uric acid level is pathognomonic for gout. Untreated gout may lead to tophi, nephropathy, and uric acid nephrolithiasis.