
Your daily dose of the clinical news you may have missed.

Your daily dose of the clinical news you may have missed.

GLP-1RAs were associated with a significantly reduced risk of obesity-associated cancers including gallbladder cancer, pancreatic cancer, and meningioma.

Over 4 million cancer deaths have been reverted since 1991, but new cancer cases are estimated to reach over 2 million, according to new data from an annual American Cancer Society report.

A 3-year-old girl is brought to the office because of a1-week history of hematuria and dysuria. Her motherhad noticed bright red blood in the child’s urine anddiaper. The child did not have dysuria initially but latercomplained of a burning sensation.

A 2-month history of cough sent a 62-year-old woman for medical evaluation. The patient denied fever, chills, and rigors but reported seeing streaks of blood in her sputum during the past month. The patient had undergone a right nephrectomy 4 years earlier for renal cell carcinoma.

An 85-year-old man was admitted to the hospital with a cough and shortness of breath of 1 week's duration and a fever and increased sputum production for 2 days. His history included renal cell carcinoma and metastatic renal cancer for 2 years. The patient had smoked cigarettes for 30 years. He had lost 30 lb during the last few months.

A 42-year-old woman came to the emergency department because of hematuria for 1 day, a low-grade fever, and weight loss over the past 2 months. She denied having any abdominal pain or urinary problems. Pallor was the only noteworthy physical finding.

A 68-year-old man presented with a sudden-onset, 2.5 × 2-cm, rock-hard, erythematous, nontender nodule on the right side of the chest. A dense mat of telangiectases surrounded the solitary lesion. The remainder of the cutaneous examination was unremarkable.

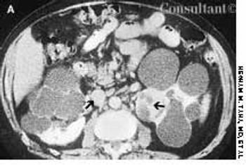
A 45-year-old man complained of blood in his urine. The patient had a 7-year history of chronic renal failure secondary to hypertension; he had undergone hemodialysis for the past 5 years.

Vague abdominal pain, malaise, anorexia,and the loss of 10 lb in 2months prompted a 65-year-old manto seek medical evaluation. A yearearlier he had undergone surgery forstage III carcinoma of the sigmoidcolon. Because metastases to thelymph nodes were found in the resectedcolon, the patient was given postoperativechemotherapy. Histologicexamination revealed poorly differentiatedadenocarcinoma.

An 85-year-old man was admitted to the hospital with acough and shortness of breath of 1 week’s duration anda fever and increased sputum production for 2 days. Hishistory included renal cell carcinoma and metastatic renalcancer for 2 years. The patient had smoked cigarettesfor 30 years. He had lost 30 lb during the last few months.A chest film revealed pneumonia of the right lowerlobe. Metastatic nodules were noted on the scalp; extensivelung, bone, and brain metastases also were found.

A 40-year-old man was concerned about an enlarging painlessmass on the right side of his neck that had been presentfor 6 months (A). The patient reported no other healthproblems; his medical history was unremarkable, and hewas taking no medications.There was no family or personal history of thyroiddisease or of exposure to radiation. Thyroid function testresults were within normal limits. A chest film revealed nopathology.

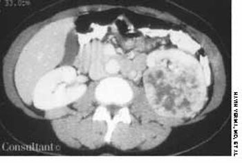
A 43-year-old woman was admitted to the hospital withleft flank pain. The physical examination revealed a left abdominalmass. Laboratory test results identified normochromic-normocytic anemia (hematocrit, 33%; hemoglobin,10.8 g/dL; and mean corpuscular volume, 88 fL) andmicroscopic hematuria (10 red blood cells per high-powerfield).