Articles by Terence M. Brady, MD

A 55-year-old man complaining of backache had localized tenderness at the paraspinal region over the posterior portion of the right 7th rib. A CT scan of the thorax revealed erosion of this portion of the rib, along with a space-occupying lesion that displaced the adjacent pleura and lung. Needle aspiration and biopsy study of this mass showed it to be a plasmacytoma.

A 56-year-old man who had hematuria for 2 weeks underwent ultrasonography. This disclosed a well-circumscribed cyst in the lower pole of the left kidney and echogenic foci in the upper pole of the right kidney, without any evidence of posterior shadowing. A hyperechoic, well-circumscribed, circular focus was also seen in the right lobe of the liver. Abdominal CT confirmed the presence of a left renal cyst and revealed a 4.7-cm hypodense lesion in the right lobe of the liver, which suggested hemangioma.

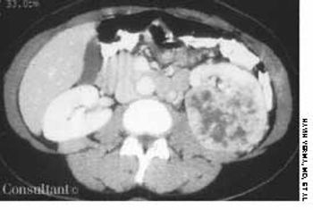
A 42-year-old woman came to the emergency department because of hematuria for 1 day, a low-grade fever, and weight loss over the past 2 months. She denied having any abdominal pain or urinary problems. Pallor was the only noteworthy physical finding.

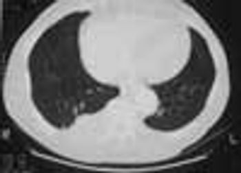
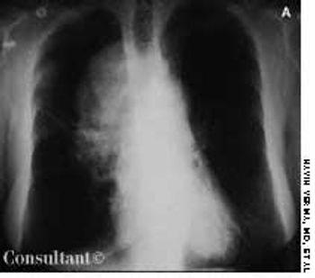
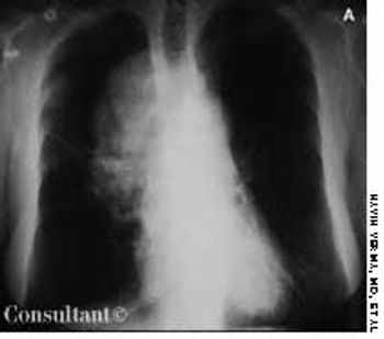
For the past year, a 45-year-old man experienced dull, aching chest pain and breathlessness following routine work. He had no history of fever, cough, dysphagia, or change in voice.

A 42-year-old woman complained of facial puffiness, fullness, and redness for 2 weeks, which were gradually becoming more severe. She also noticed a sensation of “heaviness” in her head. The patient had no significant past medical history. She denied having a cough, shortness of breath, hoarseness, allergies of any kind, and neurologic deficits. Her weight and appetite were unchanged. She had smoked a pack of cigarettes every day for the past 20 years.

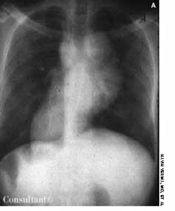
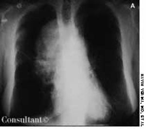
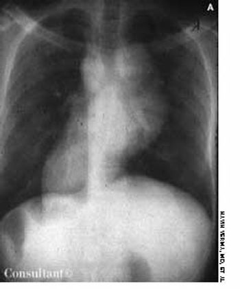
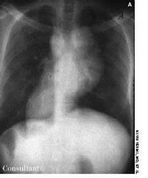
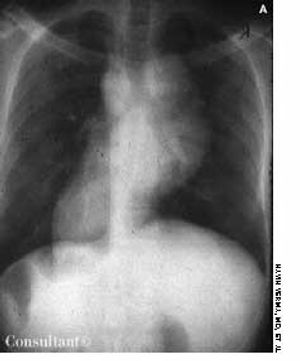
A 48-year-old man complained of difficulty in swallowing both solid food and liquids. The dysphagia began several years earlier and had become increasingly severe and more frequent over the past 2 to 3 years. Vague heartburn without reflux and frequent regurgitation were also troublesome.
Latest Updated Articles

ThymomaPublished: September 14th 2005 | Updated: