
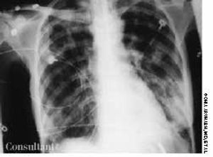
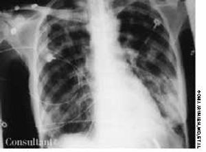
For the past 6 weeks, a 72-year-old woman with a history of ovarian cancer had had intensifying dyspnea. Initially, she thought her breathing problem was caused by progressive congestive heart failure.

For the past 6 weeks, a 72-year-old woman with a history of ovarian cancer had had intensifying dyspnea. Initially, she thought her breathing problem was caused by progressive congestive heart failure.

Painful eczematous lesions at the angle of her mouth and the base of her nostrils had been bothering a 52-year-old woman for 3 days. Some of the vesicles had ulcerated and left a crust over the region. The patient said she had had similar attacks in the past. The diagnosis of recurrent herpes simplex virus 1 (HSV 1) infection was made. The patient was treated with acyclovir for 1 week, and all the lesions disappeared.

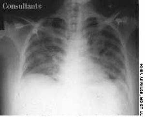
With a 1-year history of episodic wheezing, a 62-year-old woman (a smoker for the past 30 years) was being treated for bronchial asthma, but bronchodilator therapy did not control her symptoms. She was hospitalized with worsening dyspnea and a 4.5-kg (10-lb) weight loss over the past 3 months. There was no hemoptysis.

A 30-year-old man, who was homeless, was admitted to the hospital with a several-month history of dyspnea and fever. He complained of producing excessive sputum and having frequent bouts of hemoptysis. Bilateral crackles were heard during examination of the lungs. The patient was in acute respiratory distress and was intubated to provide ventilatory support.

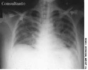
For the past few days, a 75-year-old man with a history of chronic obstructive pulmonary disease had suffered from dyspnea and fever (temperature, 38.3°C [101°F]). He also complained of producing excessive foul-smelling sputum but denied any hemoptysis.

A 25-year-old man, who was an injection drug user, presented with a several-day history of dyspnea and fever. He complained of excessive malaise, fatigue, and weight loss but denied any hemoptysis. The examination of the lung revealed bilateral crackles in both lower zones.

A 67-year-old man had been hoarse since undergoing a thyroidectomy for carcinoma nearly 3 months ago. Indirect laryngoscopy now confirmed paralysis of the right vocal cord, which was fixed in the paramedian position. The left vocal cord appeared normal.

A 40-year-old woman with a history of amenorrhea complained of recent headaches and galactorrhea for the last 6 months. A neurologic work-up revealed bitemporal hemianopia, and a radiograph of the skull suggested an enlarged sella turcica. A large pituitary adenoma disclosed by an MRI and a serum prolactin level of 360 µg/L led to a diagnosis of prolactinoma.

A 56-year-old man who had hematuria for 2 weeks underwent ultrasonography. This disclosed a well-circumscribed cyst in the lower pole of the left kidney and echogenic foci in the upper pole of the right kidney, without any evidence of posterior shadowing. A hyperechoic, well-circumscribed, circular focus was also seen in the right lobe of the liver. Abdominal CT confirmed the presence of a left renal cyst and revealed a 4.7-cm hypodense lesion in the right lobe of the liver, which suggested hemangioma.

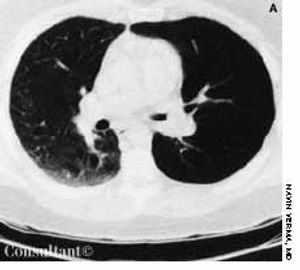
Having been treated for pulmonary tuberculosis (TB) 25 years earlier, a 60-year-old man (a nonsmoker) now complained of a chronic cough. The cough was occasionally accompanied by yellowish sputum but no hemoptysis. Examination revealed persistent coarse crackles in the right posterior hemithorax, and the x-ray study seen here established the diagnosis of cystic bronchiectasis.

An 82-year-old man underwent right pneumonectomy for squamous cell carcinoma of the right lower lobe. His postoperative course was complicated by prolonged air leak from the chest tube, suggesting a bronchopleural fistula secondary to leakage from the bronchial stump. Over the ensuing 3 months, the air leak slowly decreased, but the patient was left with a nonhealing scar on the anterior thoracic cavity, as seen here.

A 42-year-old woman came to the emergency department because of hematuria for 1 day, a low-grade fever, and weight loss over the past 2 months. She denied having any abdominal pain or urinary problems. Pallor was the only noteworthy physical finding.

For the past year, a 45-year-old man experienced dull, aching chest pain and breathlessness following routine work. He had no history of fever, cough, dysphagia, or change in voice.

A 42-year-old woman complained of facial puffiness, fullness, and redness for 2 weeks, which were gradually becoming more severe. She also noticed a sensation of “heaviness” in her head. The patient had no significant past medical history. She denied having a cough, shortness of breath, hoarseness, allergies of any kind, and neurologic deficits. Her weight and appetite were unchanged. She had smoked a pack of cigarettes every day for the past 20 years.

A 48-year-old man complained of difficulty in swallowing both solid food and liquids. The dysphagia began several years earlier and had become increasingly severe and more frequent over the past 2 to 3 years. Vague heartburn without reflux and frequent regurgitation were also troublesome.

These painful eczematous lesionsat the angle of the mouth and thebase of the nostrils had been presentin a 52-year-old woman for 3days (A). Some of the vesicles hadulcerated and left a crust over theregion. The patient said she had hadsimilar attacks in the past. The diagnosisof recurrent herpes simplexvirus 1 (HSV-1) infection was made.The patient was treated with acyclovirfor 1 week, and all the lesionsdisappeared.

Published: September 14th 2005 | Updated:

Published: September 14th 2005 | Updated:

Published: September 14th 2005 | Updated:

Published: September 14th 2005 | Updated:

Published: September 14th 2005 | Updated:

Published: September 14th 2005 | Updated: