Articles by Japinder Singh, MD

Sézary Syndrome
ByHesham Taha, MD,Japinder Singh, MD,Gamil Kostandy, MD,Osama Ayad, MD,Maged Ghaly, MD,David Dosik, MD A 55-year-old woman with no significant medical history reported that diffuse erythematous, patchy, purpuric skin lesions over most of her body had been present for the past year. Applications of an over-the-counter corticosteroid cream helped control the pruritus but did not clear the skin lesions.

A 50-year-old man with a history of diabetes, hypertension, seizure disorder, and alcohol abuse sought treatment for a rash and painful ulcerations of the hand, face, and scalp, which had bothered him for 1 month. The patient also complained of pruritus.

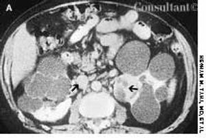
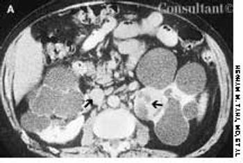
A 45-year-old man complained of blood in his urine. The patient had a 7-year history of chronic renal failure secondary to hypertension; he had undergone hemodialysis for the past 5 years.