
A 24-year-old woman was concerned about a protruding epigastrium mass that had grown since it was first noted 4 months earlier. She had no abdominal pain, nausea, or vomiting.

A 24-year-old woman was concerned about a protruding epigastrium mass that had grown since it was first noted 4 months earlier. She had no abdominal pain, nausea, or vomiting.

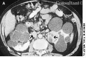
A 45-year-old man complained of blood in his urine. The patient had a 7-year history of chronic renal failure secondary to hypertension; he had undergone hemodialysis for the past 5 years.

Published: September 14th 2005 | Updated:

Published: September 14th 2005 | Updated: