
Renal Cell Carcinoma Metastases to the Lung
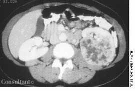
A 2-month history of cough sent a 62-year-old woman for medical evaluation. The patient denied fever, chills, and rigors but reported seeing streaks of blood in her sputum during the past month. The patient had undergone a right nephrectomy 4 years earlier for renal cell carcinoma.
A 2-month history of cough sent a 62-year-old woman for medical evaluation. The patient denied fever, chills, and rigors but reported seeing streaks of blood in her sputum during the past month. The patient had undergone a right nephrectomy 4 years earlier for renal cell carcinoma.
A chest film disclosed multiple nodules in both lungs. A biopsy of the nodules confirmed metastatic renal cell carcinoma. There was no evidence of endobronchial lesions on bronchoscopy.
Drs Mahesh Duggal, Krishna Badhey, and Arunabh of Queens, NY, explain that the roentgenographic pattern of multiple metastatic lung nodules varies from diffuse micronodular shadows to large, well-defined masses, or “cannonballs.”
When first seen, approximately 30% of patients with renal cell carcinoma have distant metastases. However, as in this case, a considerable amount of time may elapse between the initial discovery of the renal tumor and the identification of metastases. Lung metastases with renal cell carcinoma have a poor prognosis, and only palliative treatment can be tried.
The cannonball lesions caused the patient's persistent cough and hemoptysis. Extensive bone metastases were discovered as well; the patient was referred for radiation therapy.
Newsletter
Enhance your clinical practice with the Patient Care newsletter, offering the latest evidence-based guidelines, diagnostic insights, and treatment strategies for primary care physicians.





















































































































































































































































































