
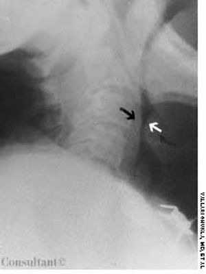
A 74-year-old nursing home resident was admitted to the hospital with shortness of breath and stridor. Radiographic examination of the neck revealed the “thumb sign” of a swollen epiglottis (Figure, white arrow); the black arrow indicates the normal posterior wall of the pharynx. Acute epiglottitis was diagnosed.


