
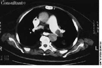
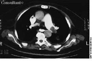
A 72-year-old woman had complained of shortness of breath for the past week. A CT scan showed a large filling defect in the left main pulmonary artery (Figure A, thin arrows) that extended into both the upper and lower branches. Another filling defect (not shown here) was seen along the posterior wall of the right main pulmonary artery, extending into the lower branch. These defects are compatible with pulmonary emboli.


