
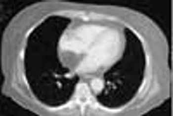
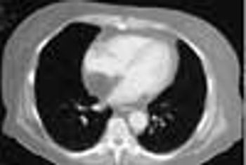
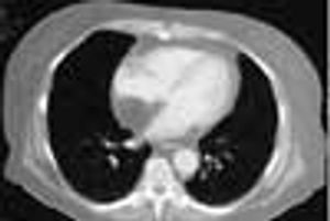
An obese 56-year-old woman was hospitalized after 2 days of chest pain, shortness of breath, and palpitations. Physical examination revealed no abnormalities, and serial cardiac enzyme studies and an ECG ruled out myocardial infarction. However, transesophageal echocardiography showed a lesion in the mediastinum.


