
A 48-year-old man was admitted with a sore throat, subjective fever, and cough of 2 days’ duration. Two days before admission, he had dysphagia, began to drool, and felt like he was choking.

A 48-year-old man was admitted with a sore throat, subjective fever, and cough of 2 days’ duration. Two days before admission, he had dysphagia, began to drool, and felt like he was choking.

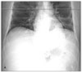
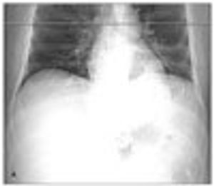
A 38-year-old man found lying on the floor in his home was hospitalized because of alcohol intoxication. A chest radiograph showed a large calcified lesion in the left upper abdomen. A CT scan with intravenous contrast revealed a large, well-defined, cystic mass with mural calcification in the spleen. The CT findings were not consistent with a vascular malformation or echinococcal cyst-specifically, the mass was sharply demarcated, unilocular without septations, and round with a thin wall and attenuation similar to water. Urine Histoplasma antigen test results were negative.

During the evaluation of a 61-year-old man who had sustained mild head and upper trunk injuries in a car accident, a right lower lobe consolidation was noted on the chest radiograph. There was no evidence of rib fracture. A chest CT scan with contrast showed a hilar mass that obstructed the lateral segmental bronchi of the right lower lobe. Atelectasis of the posteromedial segments of the right lower lobe and ipsilateral subcarinal adenopathy were also noted.

Published: January 12th 2011 | Updated:

Published: November 2nd 2008 | Updated:

Published: February 17th 2010 | Updated: