
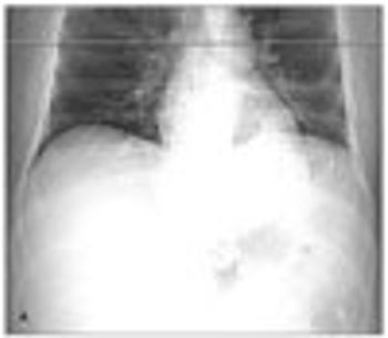
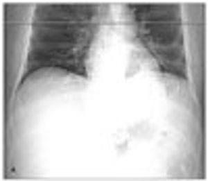
A 38-year-old man found lying on the floor in his home was hospitalized because of alcohol intoxication. A chest radiograph showed a large calcified lesion in the left upper abdomen. A CT scan with intravenous contrast revealed a large, well-defined, cystic mass with mural calcification in the spleen. The CT findings were not consistent with a vascular malformation or echinococcal cyst-specifically, the mass was sharply demarcated, unilocular without septations, and round with a thin wall and attenuation similar to water. Urine Histoplasma antigen test results were negative.


