
An 88-year-old woman was brought to the emergency department after she choked on a piece of meat. She had dysphagia of many years’ duration and progressive weight loss over the past 5 years.

An 88-year-old woman was brought to the emergency department after she choked on a piece of meat. She had dysphagia of many years’ duration and progressive weight loss over the past 5 years.

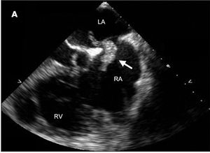
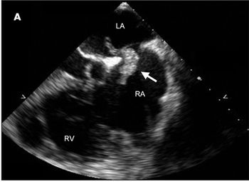
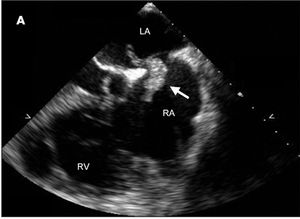
Chest pain and dyspnea of acute onset prompted a 49-year-old man to seek urgent medical attention. Two months earlier, he had sustained fractures to the right arm and both ankles after a 25-ft fall. Ten days before presentation, the patient’s rehabilitation physician had discontinued daily enoxaparin because of improved mobility and a presumed decreased risk of thromboembolism.

An 88-year-old woman was brought to the emergency department after she choked on a piece of meat. She had dysphagia of many years' duration and progressive weight loss over the past 5 years.

Published: April 11th 2011 | Updated:

Published: September 15th 2007 | Updated:

Published: October 6th 2009 | Updated: