
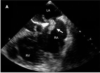
Chest pain and dyspnea of acute onset prompted a 49-year-old man to seek urgent medical attention. Two months earlier, he had sustained fractures to the right arm and both ankles after a 25-ft fall. Ten days before presentation, the patient’s rehabilitation physician had discontinued daily enoxaparin because of improved mobility and a presumed decreased risk of thromboembolism.


