
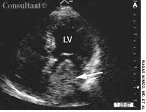
For 2 years, a 60-year-old woman with long-standing hypertension had experienced worsening dizzy spells, fatigue, and chest discomfort. She also had cold extremities, significant dyspnea on exertion, and orthopnea. The patient was taking amlodipine and furosemide.


