
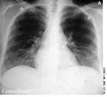
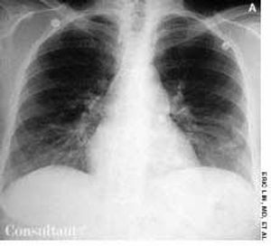
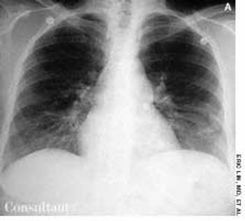
A 47-year-old woman presented to the emergency department with chest pain of sudden onset. The patient had no history of coronary artery disease, peptic ulcer, gastroesophageal reflux disease, or similar episodes of chest pain. She had not traveled long distances or suffered trauma or injury recently.


