
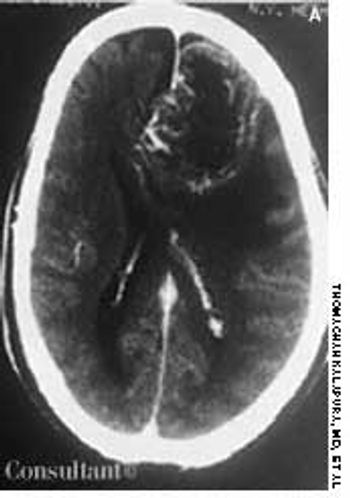
A 57-year-old man was brought to the emergency department with severe bifrontal headache, which he had had for 3 weeks. Family members reported that the patient exhibited episodes of confusion and loss of recent memory since the onset of the headache.


