
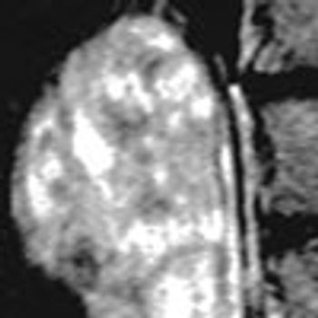
A large right adrenal mass was noted incidentally on an MRI scan of the lumbar spine, which had been performed for other reasons in a 55-year-old non-obese woman. The bright heterogeneous mass (T2-weighted image) measured 6.2 3 6.2 3 4.1 cm and sat like the head of a serpent on the superior pole of the right kidney. Its margins were smooth, but signal intensity was increased on T2 weighting because of high water content. The left adrenal gland was normal.


