
According to the Sgarbossa criteria, the patient had an acute MI: ECG revealed a greater than 1-mm ST-segment depression in lead V2 and about 5-mm discordant ST-segment elevation in leads II, III, and aVF.

According to the Sgarbossa criteria, the patient had an acute MI: ECG revealed a greater than 1-mm ST-segment depression in lead V2 and about 5-mm discordant ST-segment elevation in leads II, III, and aVF.

The multiple, symmetrically distributed, soft, nontender swellings on the shoulders and torso of a 56-year-old Hispanic man are characteristic of multiple symmetric lipomatosis (MSL), also known as Madelung disease or Launois- Bensaude syndrome.

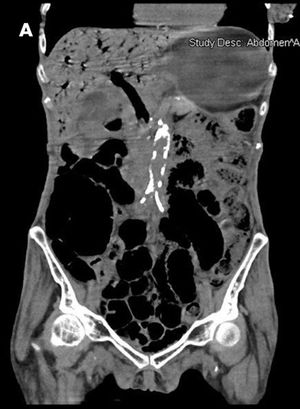
A 70-year-old woman with poorly controlled type 2 diabetes mellitus (hemoglobin A1c, 12.5%) and hypertension was brought to the emergency department for evaluation of abdominal pain and loose bowel movements.

Ventricular versus supraventricular tachycardia? This case offers diagnostic and treatment strategies when the diagnosis is uncertain.

Published: July 1st 2010 | Updated:

Published: April 1st 2009 | Updated:

Published: October 6th 2009 | Updated:

Published: December 8th 2009 | Updated: