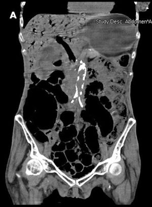
Pneumatosis IntestinalisByUmer Feroze Malik, MD,Usman Ali, MDOctober 6th 2009A 70-year-old woman with poorly controlled type 2 diabetes mellitus (hemoglobin A1c, 12.5%) and hypertension was brought to the emergency department for evaluation of abdominal pain and loose bowel movements.