
When young children have an irritant in their eyes, to reduce the stinging and make opening the eyes easier, try putting a drop of an ocular anesthetic in each medial canthus while the child is supine; be sure to wait for it to seep in.

When young children have an irritant in their eyes, to reduce the stinging and make opening the eyes easier, try putting a drop of an ocular anesthetic in each medial canthus while the child is supine; be sure to wait for it to seep in.

Pain in the right hip that had gradually worsened within the past month prompted a 42-year-old man to seek medical attention. The pain was aggravated by lifting the right leg and by walking; it was relieved by ibuprofen. The patient denied recent trauma, fever, overexertion, numbness, leg weakness, and back pain. He had had a discectomy for a herniated lumbar disk several years earlier. There was no history of sickle cell disease or allergies. He reported occasional alcohol use.

An HIV-positive 38-year-old man with a history of injection drug use presented to the emergency department with abdominal and back pain that worsened with motion. He denied fever and vomiting. During the past 2 months, the patient had been treated for a urinary tract infection (UTI) 4 times and evaluated for a renal calculus, which had been ruled out. He was currently receiving ciprofloxacin, ibuprofen, and HAART.

For 7 days, a 10-year-old boy had had a headache and a fever (temperature, 38.8°C [102°F]); a viral upper respiratory tract infection had been diagnosed. His parents brought him to the emergency department when weakness in his right leg developed, which impaired walking.

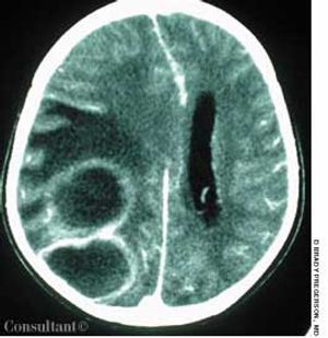
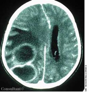
While playing outside, a 23-month-old girl became sleepy and difficult to arouse. The mother brought her daughter to the emergency department (ED); posturing and a dilated and fixed right pupil were noted. The child was hospitalized.

A 47-year-old man presented to theemergency department with adrooping right eye. He also complainedof a constant right-sidedheadache of 1 week’s duration; thepain involved the temporal region.Another physician had diagnosednew-onset migraine and prescribedsumatriptan, which failed to alleviatethe pain. The patient had no weakness,vomiting, or double vision.Both his father and his son hadMarfan syndrome.

A 34-year-old man came to the emergency department after a mishap during sexual intercourse resulted in a cracking sound in his penis with immediate pain and loss of erection. He had no significant medical history. The patient was in moderate physical pain but severe emotional distress. Vital signs were normal.

Published: September 14th 2005 | Updated:

Published: September 14th 2005 | Updated:

Published: November 1st 2005 | Updated:

Published: November 1st 2003 | Updated:

Published: February 2nd 2005 | Updated:

Published: September 1st 2006 | Updated: