
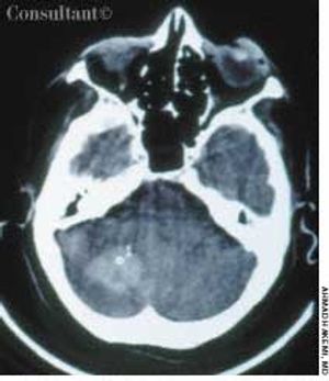
A 65-year-old woman with a long history of hypertension treated with metoprolol and felodipine complained of dizziness, headache, nausea, and vomiting of acute onset. Her blood pressure was 220/110 mm Hg. She was drowsy and unable to stand or walk.

A 65-year-old woman with a long history of hypertension treated with metoprolol and felodipine complained of dizziness, headache, nausea, and vomiting of acute onset. Her blood pressure was 220/110 mm Hg. She was drowsy and unable to stand or walk.

Published: September 14th 2005 | Updated: