Demetrios Papaioannides, MD
Articles by Demetrios Papaioannides, MD

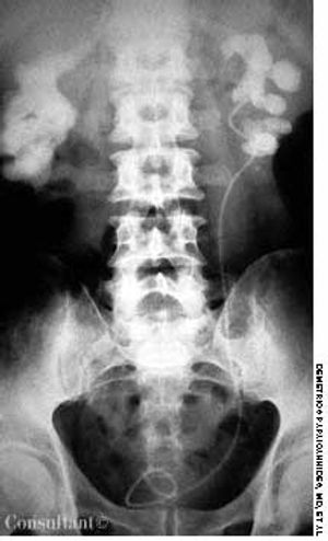
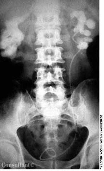
A roentgenogram of the kidneys, ureter, and bladder of a 58-year-old man shows bilateral stones in the renal pelvis and the renal calyces. The patient had a history of recurrent urinary tract infections caused by Proteus mirabilis. A ureteral catheter (pigtail) had been placed in the pelvis of the left kidney to facilitate drainage.

A 30-year-old woman was brought to the hospital with syncope, bradycardia, and hypotension. For the past 6 years, she had vomited after eating meals and after occasional episodes of binge eating.

A 56-year-old man who consumed moderate amounts of alcohol was awakened by an intense burning pain in the right great toe; local erythema and edema were also present. Within hours, the pain became excruciating, and the same symptoms developed in the left great toe. Acetaminophen provided no relief. The patient's serum uric acid level was 8.8 mg/dL.

A 67-year-old woman was admitted to the hospital with fever, chills, unilateral flank pain, dysuria, and urinary frequency and urgency. Her past medical history included several febrile relapses of infection.